Immunohistochemistry Catalog

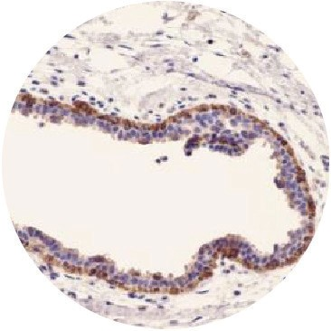
Cytokeratin 17

Clone: V21-R
Cat#: DB 101
In normal tissues, CKl7 is expressed by basal cells of complex epithelia, e.g. basal cells of pseudo-stratified epithelium in the trachea, larynx, bronchi, myoepithelial cells in salivary glands and sweat glands. In neoplastic tissue, CKl7 is expressed by squamous cell carcinomas of the lung, cervix and oral cavity.
DB 101
Fixed-embedded human breast
Cookies user preferences
We use cookies to ensure you to get the best experience on our website. If you decline the use of cookies, this website may not function as expected.
Accept all
Decline all
Read more
Analytics
Tools used to analyze the data to measure the effectiveness of a website and to understand how it works.
Google Analytics
Accept
Decline
Save