Immunohistochemistry Catalog

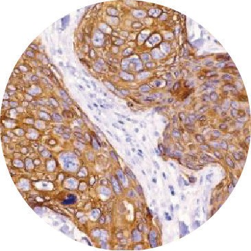
Cytokeratin 16

Clone: R20-S
Cat#: DB 100
CK16 is a type I cytokeratin. It is paired with CK6 in a number of epithelial tissues, including nail bed, oesophagus, tongue, and hair follicles. Mutations in the gene encoding this protein are associated with genetic skin disorders.
DB 100
Fixed-embedded human skin squamous cell carcinoma
Cookies user preferences
We use cookies to ensure you to get the best experience on our website. If you decline the use of cookies, this website may not function as expected.
Accept all
Decline all
Read more
Analytics
Tools used to analyze the data to measure the effectiveness of a website and to understand how it works.
Google Analytics
Accept
Decline
Save