Immunohistochemistry Catalog

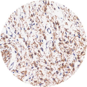
S-100 protein

Clone: D28-E
Cat#: DB 055
Antibody to S100 stains schwannomas, ependymomas, astrogliomas, nevi and almost all malignant melanomas and their metastases. S100 protein is also expressed in the antigen presenting cells such as the Langerhans cells in skin and interdigitating reticulum cells in the paracortex of lymph nodes.
DB 055
Fixed-embedded human neurofibroma
Cookies user preferences
We use cookies to ensure you to get the best experience on our website. If you decline the use of cookies, this website may not function as expected.
Accept all
Decline all
Read more
Analytics
Tools used to analyze the data to measure the effectiveness of a website and to understand how it works.
Google Analytics
Accept
Decline
Save